Доброякісна гіперплазія передміхурової залози
ДГПЗ — Доброякісна гіперплазія передміхурової залози захворювання, що добре відоме багатьом чоловікам старшого віку. З роками простата збільшується в розмірах, стає надмірно великою і поступово перетискає вихід сечі з сечового міхура. Це спричиняє часткову чи повну затримку сечовипускання.
За допомогою сучасних технологій стало можливо, поруч з хірургічними методами лікування, вирішувати цю проблему і мало-травматичними способами. Річ йде про Емболізацію артерій простати. Ця технологія дозволяє ввести в судини передміхурової залози маленькі частки — емболи, що перекривають кровоплин, викликають ішемію простати та призводять до її зменшення. Так вдається позбутися проблем, що викликані цим захворюванням.
Клінічний випадок.
До нас звернувся пацієнт 79 р. Зі скаргами на періодичну затримку сечі. Скарги наростали поступово, на протязі кількох місяців. Особливістю даного випадку було те, що чоловіку в 2006 році вже було виконано через-міхурове видалення передміхурової залози. Проте частки що лишились дали ріст нової тканини. І за ці роки виросла нова патологічно збільшена залоза (майже 5см в діаметрі). Після дообстеження було виключено злоякісну природу цього утвору і ми вирішили перейти до операції.
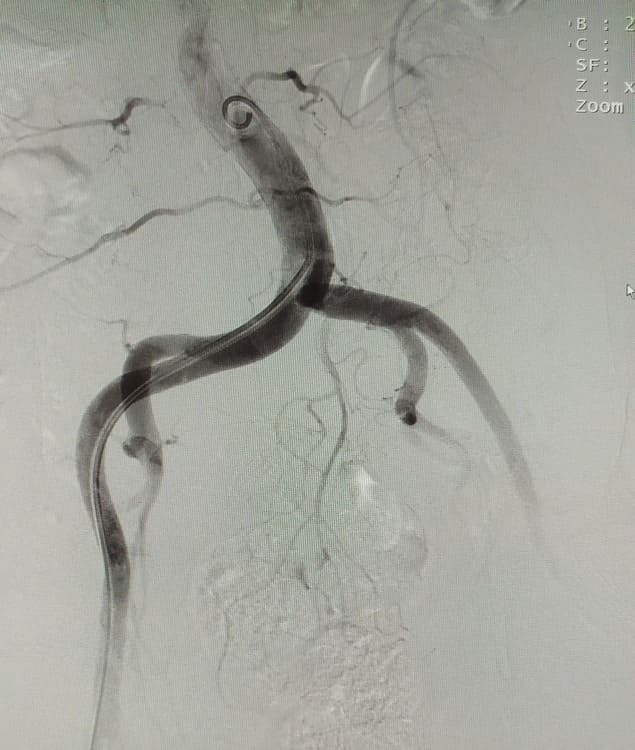
Зазвичай люди літнього віку мають вражені атеросклерозом та звивисті, внаслідок гіпертонічної хвороби судини. Цей випадок не був виключенням, тому нам довелося докласти максимум зусиль, використати високотехнологічне обладнання та інструменти, щоб віднайти цільові судини. На диво, незважаючи на попередню операцію, судинний малюнок рецидивної простати збігався з тим який буває у не оперованих пацієнтів. Тому нам вдалося їх чітко визначити з обох сторін та заповнити емболами. Це доволі кропітка праця, адже щоб викликати ішемію, необхідно поступово виключити кровоплин в усій тканині залози. Полегшувало операцію лише відсутність перетоків артерій на сусідні органи. Це дозволило нам безпечно емболізувати, не боячись негативних наслідків та ускладненнь.
Операція була виконана 28.05.2021. під місцевою анестезією, доступом через прокол в правій стегновій артерії. Вже на протязі тижня зменшилась кількість походів в туалет по маленькому (вночі до 1 разу), полегшилось сечовиділення та покращилось самопочуття хворого.
Ми все ж терпляче чекали на результати ультразвукової діагностики. І були дуже раді побачити, що за три тижні розмір залози зменшився в три рази.
Пацієнт одужує, бажаємо йому міцного здоров’я та гарного самопочуття і надалі.















